interskalinärer Plexus
Ziel Nerven
- Interscalenärer Plexus (Proximaler [[Plexus brachialis]] ohne C8 und Th1 Fasern)
- N. subclavius
- N. suprascapularis
- N. thoracicus longus
- N. dorsalis scapulae
Indikationen
Operationen/ Analgesie für Eingriffe/ Schmerzen an Schulter, laterale Clavicula, Oberarm und Ellenbogen
- Claviculafraktur mediales oder laterales Drittel (immer kombiniertes Verfahren)
- Humeruskopffraktur
- Arthroskopie
- Schulterluxation
spezielle Kontraindikationen
- Bestehende kontralaterale [[Phrenicusparese]]
- Bei respiratorisch stark eingeschränkten Patienten genaue Indikationsstellung
- Katheterverfahren nur außerhalb des OP-Feldes
Anatomie
Ziel ist die Infiltration des Plexus ca. auf Höhe C6/7. Als Landmarke kann hierfür der Ringknorpel dienen. Im Regelfall ist es 2-5 cm oberhalb der Clavicula. Die Scalenuslücke liegt topographisch leicht dorsolateral des Musculus sternocleidomastoideus. Der Sternocleidomastoideus ist meistens recht prominent zu erkennen und bei leicht zur kontralateralen Seite gedrehtem Kopf gut als Orientierung zu nutzen.
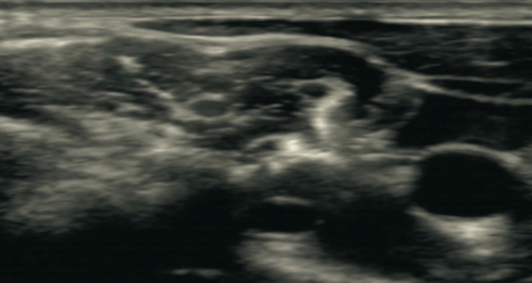
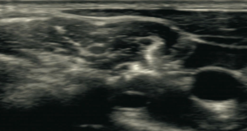
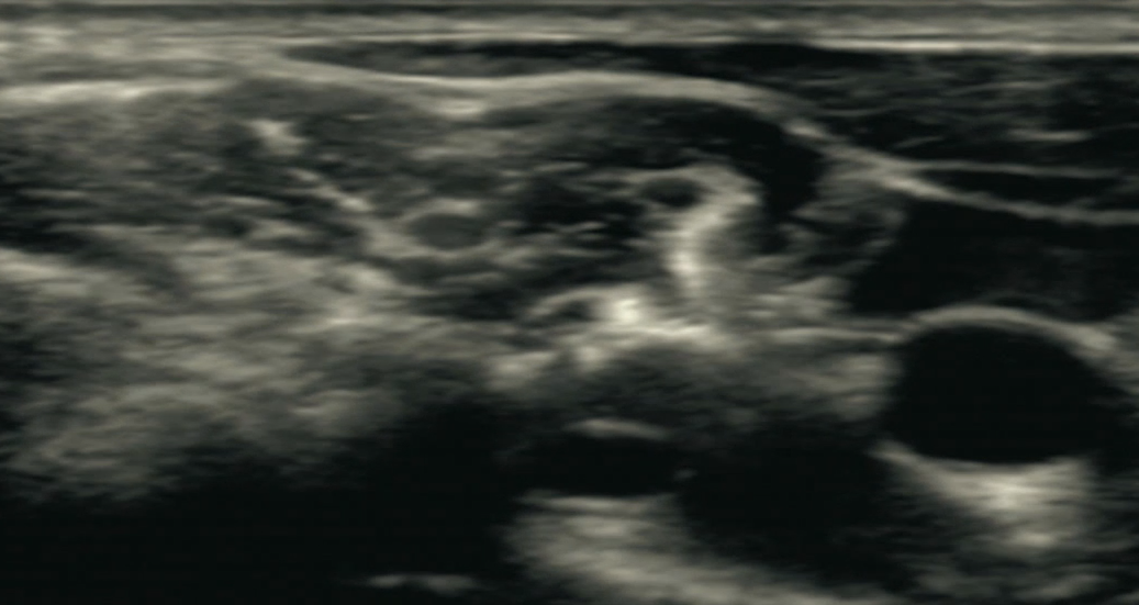
Sonoanatomie
Sonographisch sollte der Schallkopf im mittleren Drittel der Clavicula aufgesetzt werden, führt man den Schallkopf nun nach kranial, erscheint im Schallfenster bei Kippen des Schallkopfes nach thorakal die Arteria subclavia, die der Pleura aufliegt. Lateral der Arterie lässt sich der Plexus brachialis in supraclaviculärer Position darstellen. Ist dieser sicher identifiziert, so kann er durch Kippen des Schallkopfes und sanftes Vorrutschen nach kranial bis in die interskalenäre Position verfolgt werden. In der Tiefe zeigt sich meist ein Knochenschatten, der dem Processus transversus C7 entspricht. Medial an der Oberfläche zeigen sich laterale Anteile des Sternocleidomastoideus, darunter gelegen der schmale Musculus scalenus anterior und weiter lateral der meist etwas prominentere Musculus scalenus medius. Die beiden Scalenusmuskeln bilden die Scalenuslücke und werden von einer Faszie bedeckt, die nicht zwingend visualisiert, jedoch bei der Out-of-Plane-Technik zwingend durchstochen werden muss. Am Oberrand der Scalenuslücke lassen sich jetzt die Nervenfasern von C5, darunter die meist zweigeteilten Fasern von C6 und in der Tiefe, in Nähe zum Processus transversus, die prominenten C7 Fasern darstellen. Medial der C7 Faser findet man manchmal die Arteria und Vena vertebralis.
CAVE: Es gibt beim interskalenären Plexus brachialis häufig anatomische Variationen. Die Nervenfasern von C5 können durchaus im M. scalenus medius oder außerhalb der Scalenuslücke verlaufen.

- Grünes Rechteck: Plexus brachialis in der vorderen Scalenuslücke, von vorne nach hinten C5, C6 und C7
- ACI: A. carotis interna
- VJ: V. jugularis interna
- SCM: M. sternocleidomastoideus
- SA: M. scalenus anterior
- SM: M. scalenus medius
- ProT: Processus transversus von einem Halswirbelkörper
mögliche Komplikationen
- Verteilung des Lokalanästhetikums über die Halsfaszie zum Nervus phrenicus und dessen Parese mit Zwerchfellhochstand, insbesondere bei größeren Volumina und Blockaden von medial
- Verteilung des Lokalanästhetikums über die Halsfaszie zum sympathischen Grenzstrang und [[Ganglion stellatum]] mit [[Horner-Syndrom]], hauptsächlich bei größeren Volumina und Blockaden von medial
- [[Pneumothorax]]
- Verletzung von großen Halsgefäßen
- Anatomische Variante mit zweigeteiltem C6, wobei ein Teil dorsal oder lateral des M. scalenus medius verläuft
Durchführung
Sonographie nach dem oben genannten Schema. Den Plexus immer von supraclaviculär nach interscalenär schallen, um Verwechslungen zu vermeiden. Im Hals befinden sich viele im Sono ähnlich erscheinende Strukturen, sodass ein standardisiertes und an der Anatomie orientiertes Vorgehen obligat ist.
Nach Identifikation der Scalenuslücke und der Fasern von C5 und C6 (C7 ist nicht zwingend zu visualisieren) werden die Nervenfasern mittig eingestellt, sodass die Markierung am Schallkopf an der lateralen Seite des Plexus liegt. Nun erfolgt die Nadelpenetration der Haut ca. einen Zentimeter oberhalb der Markierung. Der Nadelvorschub wird nach Standardvorgehen durchgeführt, bis die Nadelspitze am lateralen Oberrand des Plexus zu sehen ist. Anschließend wird die Nadel abgeflacht und die Penetration der Halsfaszie erfolgt unter Sicht. In den meisten Fällen ist das Durchstechen deutlich zu spüren. Nach der Penetration erfolgt eine Probeinfiltration. Ist die Lage der Nadelspitze durch die Infiltration bestätigt, kann die Single-Shot-Blockade beginnen bzw. die Kathetereinlage erfolgen. Ein weiterer Vorschub der Nadel ist nicht notwendig, da sich das Lokalanästhetikum innerhalb der Scalenuslücke um die Fasern verteilt. Lokalanästhetikamengen über 15 Milliliter sind wegen möglicher Umverteilung und Nebenwirkungen zu vermeiden.
Vorteile
- Infolge der proximalen Blockade sind die Nerven N. subclavius, N. suprascapularis, N. thoracicus longus und N. dorsalis scapulae mit blockiert, was Operationen an der Schulter möglich macht, aber auch die Reposition einer Schulterluxation erleichtert
Nachteile
- Sonographisch häufig erschwert. Komplikationen sind bei ungeübten Anwendern/Anwenderinnen häufiger
- Katheter kann im OP-Feld sein
Quelle: https://pin-up-docs.de/2025/08/15/foamed-die-regionalanaesthesie/
No comments to display
No comments to display